Co je nejlepší na zánět dásní? Nejúčinnější způsoby, jak uklidnit a léčit zánět dásní

Zveřejněno 4 pro by Vojtěch Zahradník 0 Komentáře

Co je nejlepší na zánět dásní? Nejúčinnější způsoby, jak uklidnit a léčit zánět dásní

Test na zánět dásní

Proč je důležité testovat zánět dásní

Zánět dásní není jen nepříjemný – může být první známkou vážnějšího problému, který se postupně šíří pod dásně. Často je příčinou zubní kámen pod dásní, který si nevšimnete, dokud nezačne poškozovat kost a podporovat infekci.

Tento nástroj vám pomůže posoudit, zda byste měli vyhledat zubaře. Nejde o diagnózu, ale o kontrolní nástroj pro posouzení rizika.

Výsledek testu

Výzva: Doporučujeme vyhledat zubaře co nejdříve.

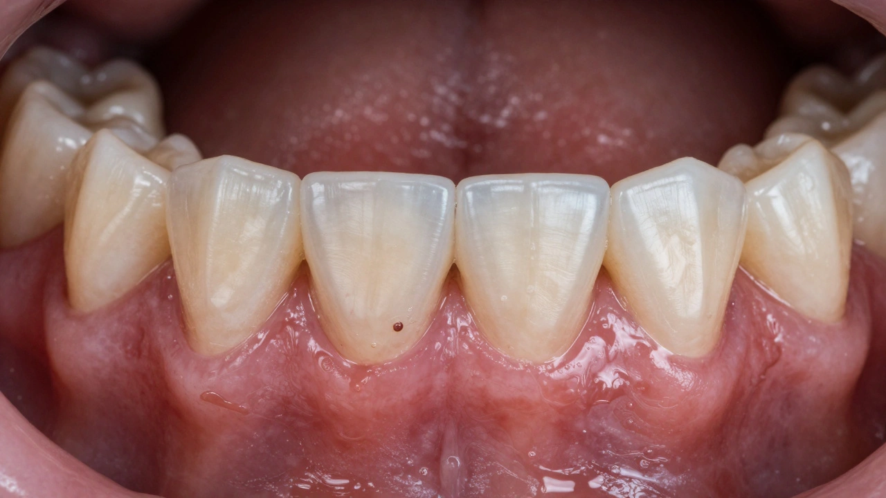
Zánět dásní není jen nepříjemný - může být první známkou vážnějšího problému, který se postupně šíří pod dásně. Pokud máte červené, krvácející nebo bolestivé dásně, nejde jen o špatnou hygienu. Často je příčinou zubní kámen pod dásní, který si nevšimnete, dokud nezačne poškozovat kost a podporovat infekci. Mnoho lidí si myslí, že stačí čistit zuby a zánět zmizí. To není pravda. Když je kámen pod dásní, čistění zubní kartáčkem ho nedostane. A bez odstranění zdroje infekce se zánět jen zhoršuje.

Proč zubní kámen pod dásní způsobuje zánět?

Zubní kámen není jen špinavost na zubech. Je to tvrdá vrstva bakterií, která se vytváří, když se plak neodstraní během několika dní. Když se tento plak dostane pod dásně, začne se tam hromadit a tvrdnout. Tam, kde je dásně těsně přilnuta ke zubu, se vytváří tzv. parodontální kapsa - malý prostor, který by měl být čistý. Když se tam zubní kámen usadí, bakterie v něm vydávají toxiny, které narušují tkáň dásně a způsobují zánět.

Tento zánět se projevuje krvácením při čištění, otokem, bolestí při žvýkání a často i zápachem z úst. Pokud to necháte být, může se zánět rozšířit na kost, která drží zuby - a to je začátek parodontitidy, která vede k ztrátě zubů. Nejde tedy jen o pohodlí. Je to problém, který se nevyléčí samovolně.

Co je nejlepší na zánět dásní - praktické kroky

Není jednoho „magického“ řešení, které všechno vyřeší. Ale je tam jasná cesta, která funguje - a začíná tím, že přestanete spoléhat jen na zubní pastu a kartáček.

  1. Navštivte zubaře pro profesionální čištění - To je první a nejdůležitější krok. Pokud máte zubní kámen pod dásní, jen zubař ho může odstranit pomocí ultrazvukového přístroje nebo ručních nástrojů. Tento postup se nazývá skalpelování nebo parodontologická léčba. Bez něj se zánět nezklidní. Není to bolestivé - dnes se používají lokální anestetiky, pokud je potřeba.
  2. Používejte zubní nit a mezizubní kartáčky - Kartáček nedokáže dostat do prostoru mezi zubem a dásní, kde se kámen tvoří. Zubní nit nebo mezizubní kartáček (velikost podle mezery) odstraní plak, který se tam hromadí. Dělejte to alespoň jednou denně, ideálně večer.
  3. Volte zubní pastu s chlorhexidinem - Pasty s chlorhexidinem (např. Parodontax, Elgydium Anti-Plaque) mají silný protizánětlivý účinek. Používejte je na 2-4 týdny, ne déle - dlouhodobé užívání může způsobit zbarvení zubů. Nejsou lék, ale pomáhají uklidnit zánět, dokud se neodstraní kámen.
  4. Polákejte antiseptickým ústním vodou - Ústní vody s chlorhexidinem nebo kyselinou kyselou (např. Corsodyl) snižují počet bakterií pod dásní. Používejte je po čištění, nepláchněte je hned - nechte působit 30 sekund a pak vypusťte. Nepijte nic 30 minut poté.
  5. Přestanete kouřit - Kouření způsobuje, že dásně léčí pomaleji, zhoršuje krevní oběh a zvyšuje riziko ztráty zubů o 70 %. Pokud kouříte a máte zánět dásní, zanechání kouření je nejdůležitější změna, kterou můžete udělat.

Co nepomůže - a co je špatná rada

Mnoho lidí zkouší různé domácí prostředky, které nejsou pro zánět pod dásní vhodné.

  • Peroxid vodíku - Může způsobit popáleniny dásní a narušit přirozenou mikroflóru. Není vhodný pro dlouhodobé používání.
  • Bylinné čaje (např. čaj z máty nebo černého teče) - Můžou dočasně uklidnit bolest, ale neodstraňují kámen nebo infekci. Nejsou léčbou, jen dočasnou úlevou.
  • Šťávy z česneku nebo cibule - Můžou být iritující pro dásně a neodstraňují bakterie pod povrchem.

Nezapomeňte: žádná domácí metoda neodstraní zubní kámen pod dásní. To je fyzikální usazenina, kterou lze odstranit jen mechanicky - a to jen zubař.

Zubař odstraňuje zubní kámen pomocí ultrazvukového přístroje

Když se zánět nechce uklidnit

Někdy i po profesionálním čištění zůstávají dásně citlivé nebo krvácí. To znamená, že infekce se přesunula hlouběji - do kosti. V takovém případě zubař doporučí další kroky:

  • Parodontologická vyšetření - Měření hloubky parodontálních kaps (prostorů mezi zubem a dásní). Normální je 1-3 mm. Pokud je více než 5 mm, je tam infekce, která potřebuje léčbu.
  • Léčba antibiotiky - Pokud je infekce vážná, zubař může předepsat lokální antibiotikum (např. Arestin - mikročástice s minocyclinem vložené přímo do kapsy) nebo ústní antibiotikum (např. metronidazol).
  • Chirurgické zákroky - Pokud je kost poškozena, může být potřeba parodontální chirurgie - odstranění poškozené tkáně a regenerace kosti.

Tyto kroky nejsou „extrémní“. Jsou standardní léčbou, která záchraní zuby, které by jinak přišly.

Prevence - jak zabránit zánětu dásní v budoucnu

Nejlepší léčba je ta, kterou nepotřebujete. A prevence je jednoduchá - ale vyžaduje konzistenci.

  • Čistěte zuby dvakrát denně - alespoň dvě minuty. Nepoužívejte silný tlak - škodí dásním.
  • Čistěte mezizubní prostory každý den - nejen když se vám to „zdá“ potřeba.
  • Navštěvujte zubaře každých 6-12 měsíců - i když nic nebolí. Kámen se tvoří během 3-6 měsíců. Pokud ho neodstraníte včas, začne poškozovat.
  • Pijte dost vody - Slina chrání dásně. Pokud máte suché ústa (např. kvůli lékům), zvyšuje se riziko plaku.
  • Dbávejte na stravu - Méně cukru, více zeleniny a potravin bohatých na vitamín C (paprika, citrusy, brokolice). Vitamín C podporuje hojení dásní.
Přechod od zánětlivých dásní k zdravým dásním

Co dělat, když už máte zánět - rychlá pomoc doma

Když vás zánět dásní překvapí - třeba v sobotu večer - můžete si pomoci jen dočasně:

  • Polákejte studenou vodou nebo solným roztokem (1 lžička soli do sklenice vody) - uklidní zánět a sníží otok.
  • Použijte studený obklad na tvář - 10 minut, přes 30 minut pauza - sníží bolest a otok.
  • Přestaňte jíst sladké, kyselé nebo horké potraviny - zvyšují podráždění.
  • Nepoužívejte alkoholické ústní vody - suší dásně a zhoršují zánět.

Toto je jen dočasná opatření. Nezakrývá příčinu. Pokud zánět trvá déle než 3 dny, musíte vidět zubaře.

Je zánět dásní nakažlivý?

Ne, zánět dásní není nakažlivý jako chřipka. Ale bakterie, které ho způsobují, se mohou přenášet - například při líbání nebo sdílení lžíce. To znamená, že pokud máte zánět dásní, můžete přenést tyto bakterie na partnera nebo dítě. To neznamená, že oni také budou mít zánět - ale zvyšujete jejich riziko, pokud nemají dobrou hygienu.

Je zánět dásní spojený s jinými nemocemi?

Ano. Výzkumy ukazují, že lidé s chronickým zánětem dásní mají vyšší riziko srdečních onemocnění, cukrovky a dokonce i demence. Proč? Protože bakterie z úst mohou cestovat krví do celého těla a způsobovat systémový zánět. To není jen problém úst - je to problém celého těla.

Může zánět dásní zmizet sám?

Ne. Zánět dásní se nevyléčí sám. Pokud se přestane krvácet, neznamená to, že je všechno v pořádku. Pokud je příčinou zubní kámen pod dásní, infekce pokračuje a postupně ničí kost. Bez odborného čištění se zánět jen zhoršuje.

Je nutné čistit zuby vícekrát denně, když mám zánět dásní?

Ne. Čištění dvakrát denně je dostatečné. Ale musí být kvalitní. Důležitější je používat mezizubní kartáčky a nit, než čistit vícekrát. Příliš časté čištění silným tlakem může poškodit dásně ještě víc.

Jak dlouho trvá, než se zánět dásní zklidní po čištění?

Zánět se začne uklidňovat během 1-2 týdnů po profesionálním čištění. Krvácení by mělo přestat do 10 dní. Pokud ne, je potřeba další vyšetření - možná i léčba antibiotiky nebo chirurgie.

Můžu používat zubní pastu s chlorhexidinem dlouhodobě?

Ne. Chlorhexidin se doporučuje jen na krátkou dobu - maximálně 4 týdny. Dlouhodobé užívání může způsobit zbarvení zubů, změnu chuti a porušení přirozeného rovnovážného stavu bakterií v ústech.

Je zánět dásní příčinou zápachu z úst?

Ano. Zápach z úst je častým příznakem zánětu dásní, protože bakterie pod dásní vydávají sírové sloučeniny, které mají charakteristický zápach. Odstranění zubního kamene a léčba zánětu často zlepší zápach z úst v průběhu několika dní.

Napsat komentář