Zubní kámen u dětí: Bezpečné domácí metody a správná prevence

Zveřejněno 1 dub by Vojtěch Zahradník 0 Komentáře

Zubní kámen u dětí: Bezpečné domácí metody a správná prevence

Plán prevence zubního kamene

Kontrola domácí péče
Vaše riziková zóna

Vyplňte data vpravo a klikněte na tlačítko pro vyhodnocení.

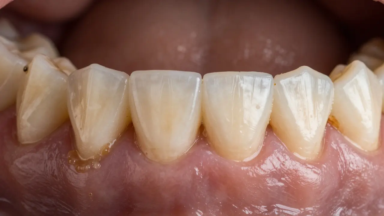
Pozorujete na zubech svého dítěte žluté nebo hnědé tvrdé usazeniny těsně u dásní? Je to klasický zubní kámen, který si v domácnostech často zaměňují s běžnou špínou. Mnoho rodičů hledá způsob, jak se jich zbavit co nejméně nepříjemně, ideálně doma u kuchyňského stolu. Pravda je ale trochu složitější a vyžaduje upřímnost. Pokud je kámen už vytvořený a vytvrzený, žádná past ani speciální kartáč ho neodstraní bezpečně. Na druhou stranu, pokud se vám podaří zastavit jeho tvorbu a odloolit měkký plak, můžete vyřešit problém úplně natrvalo.

V Brně i celé České republice máme přístup k kvalitním lékárenským produktům, které nám mohou pomoci, ale musíme vědět, jak je použít. Cílem článku není naučit vás operovat na dětských zubech harampádím ze skrytých šuplíků, ale pochopit rozdíl mezi tím, co lze a nelze udělat sami. Správná strategie kombinuje přísnou prevenci s vědomím toho, kdy je nutná návštěva profesionála.

Co přesně je zubní kámen a proč u dětí vzniká?

Předtím než začnete čehokoliv odstraňovat, musíte vědět, s čím bojujete. Zubní plak je tenký film bakterií, který se na zuby lepí každý den. Ten se dá snadno umýt. Jakmile ale tento měkký biofilm nesmíte během tří dnů důkladně vyčistit, slinné minerály začnou vplétat vápník do struktury. Plak se změní ve zkamenělý povrch, který se chová jako houbovitý skalní vrstva na korálech.

Zubní kámen se nejčastěji tvoří na spodních předních zubech, kde je výtok žlázy velmi silný. U dětí je to časté proto, že jim stále ještě není plně vyvinuto motorické zvládnutí kartáčování. Ruce nejsou obratné dost, aby dosáhly za každou jednotlivou řezákovou hrany. Když pak přišlou cukrové dezery, bakterie v tom kameni mají náskok. Kámen drží bakterii a ta drží další plak. Cyklus se uzavírá a dásně reagují zánětem.

Cohomu můžete a co nikdy nezkoušejte

Zde nastává moment pravdy. Řada webů slibuje zázraky, ale zdravotní rizika jsou skutečná. Pokud vidíte pevně sedící šedý povrch pod okrajem dásně, nemůžete ho sundat kartáčkem.

Tady jsou metody, které rozhodně doporučuji vyhnout:

  • Domácí scrapování: Použít jehlu, pinetu nebo nůžky k škrábání kamene je extrémně nebezpečné. Poškodíte email a při kontaktu s dásněmi otevřete vstupní bránu pro infekci do hloubky kosti.
  • Ocot nebo citrónový džus: Tyto kyseliny sice dokáží změkčit povrch, ale okamžitě napadají zubní sklovinu. Výsledkem je smyk skloviny, citlivost a rychlejší vznik zubního kamene, protože drsný povrch schytá více plaku.
  • Čistítko s brusným práškem: Existují abrazivní prostředky určené na kovové plochy, ale na zubech je to katastrofa. Odřený zub nemá obranou vrstvu.

Jediná bezpečná cesta „bez lékaře" spočívá v prevenci nových usazenin a pečlivém čištění měkkého plaku. To je klíč k tomu, abyste nemuseli řešit větší zásah.

Maminka pomáhá dítěti s kartáčováním zubů ve světlé koupelně.

Správná technika čištění pro děti

Ústní hygiena u dítěte nefunguje jen o samotném pohybu, ale o trvání a frekvenci. Pokud chcete zastavit tvorbu nového kamene, musíte se zaměřit na místo, kde kámen nejraději sídlí - mezizubní prostor a okraj dásně.

Masažní pohyb je pro děti nejlepší. Nenechte jejich ruku pracovat sama. Pomocí metodu Bassu, která funguje tak, že nakloníme špičky kartáčku pod linii dásně pod úhlem 45 stupňů a lehce vibrujeme vpřed a vzad. Tím vytlačíte obsah z mezery mezi zubem a dásní, kde se nejčastěji tvoří plak. Děti to musí mít jako hru. Zkuste počítat společně barvy na paletě kartáče, aby se ujistili, že dočetli všech dvacet minut.

Kromě klasického kartáčku potřebujete další nástroje. Interdentální kartáčky nebo speciální mezikartáčky. Pro děti, které mají mezizubní prostory, je toto nezbytnost. Klasická zubní nit je mnohdy obtížná a malí ji nedokážou manipulovat. Interdentální kartáček stačí jednou denně projít všemi medzizubními místy.

Díky strave zamezení vzniku kamene

Vztah jídla a zubního kamene je přímý. Bakterie milují cukr, který se rozkládá na kyselinu a živí plak. Ale stejně důležité je, co dítě jí po sladkosti. Snažte se do týdenního jídelníčku zařadit potraviny, které pomáhají čistit zuby mechanicky nebo chemicky.

  • Sýry a mléčné výrobky: Obsahují látky, které neutralizují kyseliny v ústech a podporují remineralizaci skloviny. Tuhle vlastnost využívá třeba tradiční český tvaroh po obědě.
  • Chrupnatá zelenina: Jablko, mrkev nebo okurka. Když si dítě něco chrústne, drť působí jako lehký abraziv. Je lepší než jakákoliv pasta.
  • Voda: V našich podmínkách v Brně často dochází k tomu, že voda neobsahuje dostatečné množství fluoridu. Doporučuje se dodávat fluorid externě, tedy pomocí pasty.

Důležitá je také pravidelnost pití vody. Suché ústa znamená rychlejší růst bakterií. Dítě, které hodně pije vodu, má menší riziko vzniku zubního kamene.

Zubní pomůcky a zdravá zelenina na dřevěném pultu pro hygienu.

Kdy je nutné navštívit hygienistku

Navzdory všemu úsilí doma, odstranění zubního kamene v pokročilé fázi vyžaduje ultrazvuk nebo ruční nástroje stomatologa. Věk kolem devíti až deseti let je dobrý bod pro první preventivní kontrolu, i když se nic nebolí. Důvod je jednoduchý. Dospělé zuby tráví déle, než se zničí. U dětí ale problémy rostou exponenciálně. Pokud dásně krvácejí, znamená to, že zánět už prošel do hloubky. Pak už nestačí pouze prevence.

Nevyhýbejte se tomu s obavami z bolesti. Moderní procedury jsou téměř bezbolestné. Často je to pro dítě jen nepříjemné pocení, ale nikoliv bolestivé.

Praktický plán akce pro rodiče

Pokud se chcete pokusit situaci zvládnout bez návštěvy ordinace, tady je konkrétní postup, co dělat týdně:

  1. Revize kartáče: Kontrolujte stav vlasů. Opotřebovaná vlákna neprovedou práci a poškozují dásně. Výměna každé dva měsíce je standard.
  2. Fotodokumentace: Pořiďte sobě fotku zubů vašeho dítěte raz za měsíc. Sledujte, zda se mění velikost žlutých fleků pod dásně. To vám dá objektivní přehled.
  3. Vlastní test: Nakreslete si mentální obrázek. Můžete-li dotknout prstem hrany kamene, který drží na dásni, ale netlačí to na kost, je to signál pro hygienistku. Nebo se snažte najít místo, kde máte pocit, že dásně ustupují.
  4. Hygiena spánu: Zajistěte, aby si dítě kartáčovalo zuby poslední věcí večera. Spánek zvyšuje sucho v ústech, takže pokud jíte nocí, zubařská hygiena se stává životně důležitou.

Můžu zubní kámen u dítěte sundat zubní nití?

Ne. Zubní nit je určena pro odstranění měkkého plaku a potravinářského odpadu mezi zuby. Tvrzený zubní kámen je přilepený příliš pevně na povrch zubu a dásně, takže nit jej neodstraní. Silné tahání může poškodit dásně a způsobit krvácení.

Jak často se zubní kámen tvoří u dětí?

Proces tvrdnutí plaku začíná cca za 48 hodin, ale do plného zatvrdnutí trvá několik dní až týdnů. U dětí s rychlou metabolismem a konzumací cukru může být viditelný kámen již po dvou týdnech špatné hygieny.

Bolestí při odstraňování zubního kamene doma?

Pokud používáte jakoukoli fyzickou sílu k sebedobrání kamene, pravděpodobně poškodíte dásně, což bude cítit bolestivě. Profesionální odstranění neboli detartralizace by měla proběhnout prakticky bez bolesti.

Je dobré používat elektrický kartáč?

Ano, elektrický kartáč je pro prevenci zubního kamene účinnější než manuální. Vibrace lépe odtékají částicemi plaku z dásně. Hlavní je však vydržet čas čištění alespoň 3 minuty.

Kdy navštívit zubní hygienu poprvé?

Ideální je první návštěva kolem 9. roku života nebo dříve, pokud zjistíte prvky zánětu dásní. Děti často potažují první návštěvu kvůli strachům, proto je dobré vybrat kliniku s pozitivním přístupem k dětem.

Napsat komentář